Save £250 on Amalgam Replacement

A modern, natural alternative that supports both your smile and your oral health.

Book your free consultation

0161 503 0915

With limited appointments remaining, now is the time to book your free, no obligation consultation today.

A safer more natural way to care for your smile with composite white fillings

If you’re thinking about replacing your old silver (amalgam) fillings, our new year offer is the perfect opportunity for you to take that step.

Many patients come to us to replace their amalgam fillings as they are looking for an alternative that feels more complementary for their health, looks more natural, and is stronger and more durable in the long term.

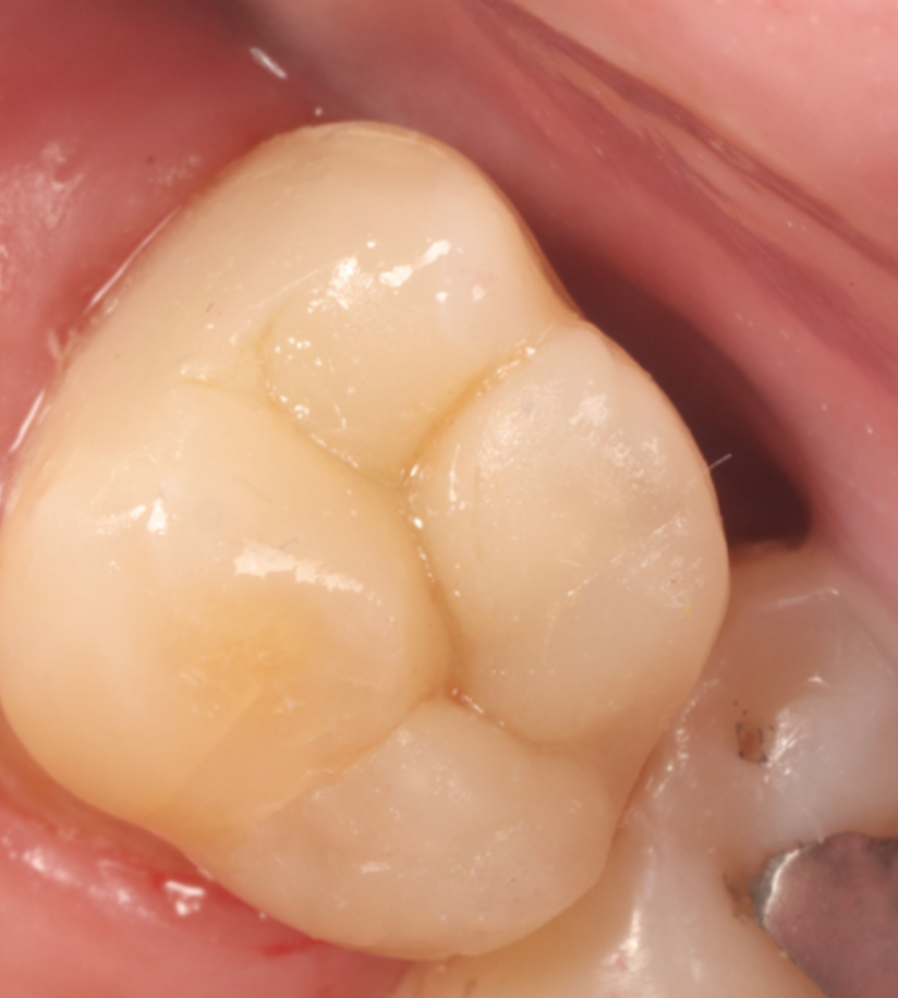
Before

After

Why choose amalgam-free fillings?

Modern tooth-coloured composite fillings are designed to restore both function and appearance, while supporting long-term oral health.

Mercury-free materials

Composite fillings are a biocompatible option, offering reassurance for patients who prefer a mercury-free approach to dental care.

Designed to support tooth strength

Bonded composite materials help reinforce the remaining tooth structure, supporting overall dental health.

Durable and long-lasting

Composite fillings flex naturally with your tooth, which can help reduce the risk of cracks or fractures over time.

Natural-looking results

Carefully colour-matched to your teeth, composite fillings blend in seamlessly – no dark metal, no visible edges.

Better for the environment

Choosing amalgam-free fillings avoids the use of mercury, making them a more environmentally responsible option.

Mercury-free materials

Composite fillings are a biocompatible option, offering reassurance for patients who prefer a mercury-free approach to dental care.

Designed to support tooth strength

Bonded composite materials help reinforce the remaining tooth structure, supporting overall dental health.

Durable and long-lasting

Composite fillings flex naturally with your tooth, which can help reduce the risk of cracks or fractures over time.

Natural-looking results

Carefully colour-matched to your teeth, composite fillings blend in seamlessly – no dark metal, no visible edges.

Better for the environment

Choosing amalgam-free fillings avoids the use of mercury, making them a more environmentally responsible option.

Many of our patients tell us they love the renewed confidence and peace of mind that comes with an amalgam-free smile. We’d love to help you feel the same.

Call us today to make a booking on 0161 503 0915

Why patients trust YOR Dental

We know trust matters, especially when it comes to your oral health. This is why at YOR Dental we offer:

Patient-first care

Your comfort, wellbeing, and reassurance always come first.

A caring, experienced team

We’re here to support you before, during, and after treatment.

Advanced dentistry

Modern techniques, high-quality materials, and carefully chosen technology.

Clear, honest guidance

We explain your options clearly and only recommend what’s right for you.

What our team says about the benefits of replacing amalgam fillings…

Deepa

Founder & Clinical Lead

“Mercury-free composite fillings really are a much healthier option for both tooth and body.”

Lee

Dentist

“Composite fillings instantly improve your smile without looking like dental work.”

Michelle

Dental Hygienist

“Replacing worn amalgam fillings can help reduce areas where plaque builds up.”

Visit us at YOR Dental

Our practice is designed to feel calm, friendly, and reassuring. From the moment you arrive, you’ll be made to feel welcome. We offer free-onsite parking, a comfortable patient lounge, and complimentary refreshments while you wait.

Ready to take the next step?

If you’re considering replacing your old silver fillings and you’d like clear advice without pressure, our smile specialists are here to help.

Book your consultation today and take advantage of our £250 discount offer.

Book your consultation now with our Patient Treatment Coordinator Jamie today.